“昏迷促醒”病例分享
病史
A
患者蓝某,男性,43岁,因"头部外伤后昏迷约35分钟"于2017-05-26 02:05入院。
查体
B
T:36.6℃,P:97次/分,R:20次/分,BP:134/89mmHg,神志昏迷,GCS=E2V3M3=8分,双侧瞳孔直径3mm,对光反射灵敏,右侧鼻漏,右侧头顶枕部可见头皮血肿,右侧肢体刺痛无反应,左侧肢体刺痛可屈曲,病理征未引出。
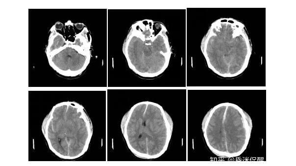
头部CT提示:弥漫性轴索损伤、左侧额颞顶硬膜下少量出血、蛛网膜下腔出血、颅骨粉碎性骨折。

入院时情况(2018-01-10)

经过
C
入院后2小时突发病情变化,查体:P:62次/分,R:15次/分,BP:152/98mmHg,神志昏迷,GCS评分=E1V1M3=5分,左侧瞳孔直径6mm,右侧瞳孔直径5mm,对光反射均消失,右侧肢体刺痛无反应,左侧肢体刺痛可屈曲,双侧babinsiki征阳性。
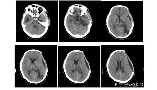
复查头颅CT提示:脑疝形成、左侧额颞顶硬膜下血肿增加、弥漫性轴索损伤。急诊送手术室行了“左侧额颞顶开颅、硬膜下血肿、脑膜成型、去骨瓣减压术”。

伤后2小时(2017-05-26 04:20)
术后给予机械通气、降低颅内压、维持内环境稳定、营养支持、预防并发症、早期重症康复介入等对症积极,术后第6天行了气管切开术,术后第3天撤除呼吸机。
期间患者先后出现脑梗塞、肺部感染、电解质紊乱、发作等并发症,经过综合后好转。术后第3周拔除气管切开套管,术后第74天行了颅骨修补术。

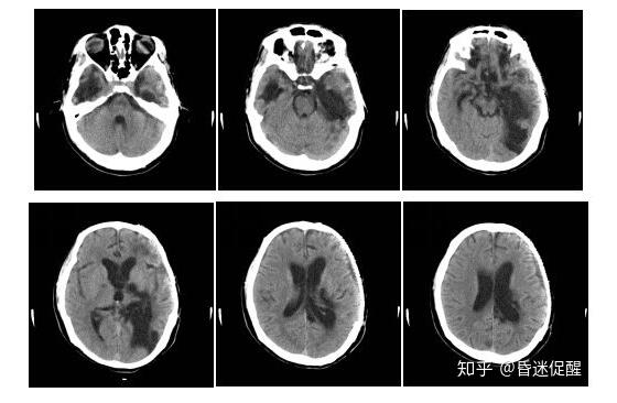
术后1个月(2017-06-26)

术后7个月(2018-01-05)
经过多学科团队采用综合康复技术(肢体功能障碍康复、肺功能康复、吞咽功能障碍康复、大小便失禁康复等)、神经调控技术(右正中神经电刺激)、高压氧技术、及针灸疗法等进行综合,患者终于在术后第6个月苏醒过来了,目前已能自行经口进食,正在进一步康复中。
正中神经电刺激
正中神经电刺激(median nerve electrical stimulation,MNS)它是将电极置于腕关节掌面腕横纹上方2cm正中神经点处的一种电刺激疗法,一般选用右侧正中神经进行电刺激,主要用于各种昏迷促醒的。MNS具有非创伤性、无并发症、易操作和费用低廉等优点而应用广泛。
促醒时机—专家论点
“促醒对于昏迷病人更为重要,越早开始康复,越容易促醒,变成植物人的可能性就越小。1个月内是昏迷病人促醒的黄金时间,这段时间内如果能醒过来,康复效果也会比较理想。”
促醒利器—右正中神经电刺激仪
《2018版神经重症康复中国专家共识》推荐正中神经电刺激疗法,安全有效,是昏迷促醒的新技术。
正中神经电刺激仪除了可以在医院使用外,还可在家给患者做、方便无场地限制、与手机进行无线蓝牙连接操作简单、节省就诊时间、依从性好、参数由医生设定安全专业。
很多患者的家人苦于没有办法将医院仪器直接带回家使用,我们特别推出了家点健康平台,可以在线租赁设备,送货上门,还提供专业的操作使用视频,健康科普等服务,让更多的患者家属更轻松有效的照顾家人。
文章来源:东莞市石排医院
“昏迷促醒”病例分享 2021-3-18 本文被阅读 2237 次



